Nom latin : Fusarium poae
Nom latin synonyme : Fusarium tricinctum f. sp. poae, Sporotrichum poae
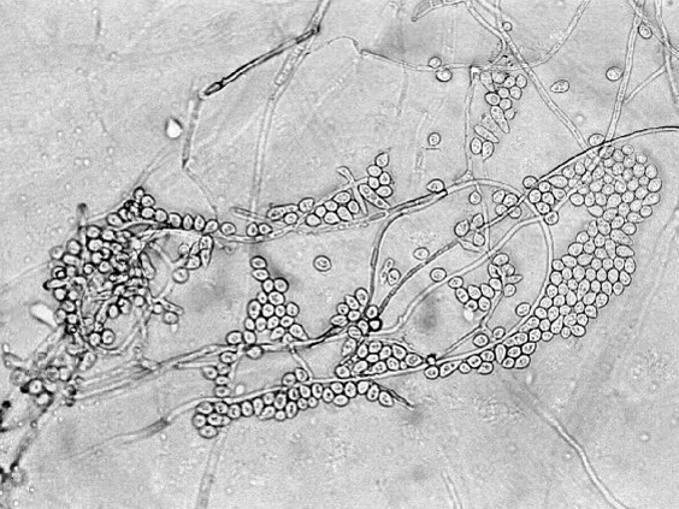
Crédit photo: Laboratoire d'expertise et de diagnostic en phytoprotection - MAPAQ
Légende: Microconidies napiformes de Fusarium poae
Morphologie
  • Culture : Aucun pigment coloré ou pigment rose à jaune apparaissant dans le milieu de culture PDA (visible dessous).

 

  • Mycélium : Septé.

   

  • Macroconidies : Rares. Phragmospores à 3-5 septations transversales. Falciformes (en forme de faucille). Cellule basale en forme de pied. Rarement regroupées en sporodochies. Dimension : 20-40 x 3-4,5 μm. Sur milieu de culture, la production de macroconidies est stimulée par la lumière UV.

 

  • Microconidies : Abondantes. 0 septation (= amérospores) (habituellement) / 1 septation (= didymospores) (rarement). Napiformes (= en forme de navet), en forme de goutte ou sphériques. Produites par des monophialides ayant une collerette apparente (absence de polyphialide). Dimension : 8-12 x 7-10 μm.

 

  • Chlamydospores : Rares. En chaînes ou en grappes.
Dommages

Le champignon Fusarium poae peut affecter les cultures suivantes : avoine, blé d'automne, blé de printemps, lin, luzerne, maïs grain et fourrager, maïs sucré, melon d'eau, œillets, orge, seigle d'automne et tulipes.

Références et liens

Booth C. (1971). The Genus Fusarium. Commonwealth Mycological Institute, Kew, Surrey, England. 237 p.

International Mycological Institute (IMI). Descriptions of Fungi and Bacteria. CAB International (CABI), Kew, Surrey, United Kingdom.

Leslie J.F. & Summerell B.A. (2006). The Fusarium Laboratory Manual. Blackwell Publishing. 388 p.
 
Nelson P.E., Toussoun T.A. & Marasas W.F.O. (1983). FUSARIUM SPECIES - An Illustrated Manual for Identification. The Pennsylvania State University Press. 193 p.
 
Noms des maladies des plantes au Canada - 4e édition (2003). Société de protection des plantes du Québec (SPPQ). 340 p.
 
NCBI : Taxa descriptions (Fusarium poae)

Cultures ou autres organismes affectés