Aller au contenu principal
Accueil
Toggle menu
Me connecter
  • Accueil
  • Rechercher
    • Symptômes et dommages sur les plantes
    • Culture
    • Insectes et autres invertébrés
    • Mauvaises herbes et autres plantes
    • Virus et viroïdes
    • Champignons
    • Nématodes
    • Bactéries et phytoplasmes
  • Identifier
  • Glossaire
  • Galerie d'images

Galerie d'images

  1. Accueil
  2. Galerie d'images
Melons - Tache angulaire (Pseudomonas syringae pv. lachrymans)_1
Melons - Tache angulaire (Pseudomonas syringae pv. lachrymans)_1

Melons - Tache angulaire

Sur la feuille d’un melon brodé (cantaloup) provenant d’un champ, présence de brûlures marginales sèches, beiges à brunes, mesurant ente 1 et 2 cm, et bien délimitées par un c...
Image Contenu lié à l’Image
Melons - Tache angulaire (Pseudomonas syringae pv. lachrymans)_2
Melons - Tache angulaire (Pseudomonas syringae pv. lachrymans)_2

Melons - Tache angulaire

Sur la feuille d’un melon brodé (cantaloup) provenant d’un champ, présence de brûlures marginales sèches, beiges à brunes, mesurant ente 1 et 2 cm, et bien délimitées par un c...
Image Contenu lié à l’Image
Melons - Target cluster_1
Melons - Target cluster_1

Melons - Target cluster

Sur cette photo, on observe les symptômes plutôt spectaculaires du target cluster, un désordre physiologique ou parasitaire d'origine inconnue. Les taches regroupées en anneau...
Image Contenu lié à l’Image
Melons - Target cluster_2
Melons - Target cluster_2

Melons - Target cluster

Sur cette photo, on observe les symptômes plutôt spectaculaires du target cluster, un désordre physiologique ou parasitaire d'origine inconnue. Les taches regroupées en anneau...
Image Contenu lié à l’Image
Melons - Target cluster_3
Melons - Target cluster_3

Melons - Target cluster

Sur cette photo, on observe les symptômes plutôt spectaculaires du target cluster, un désordre physiologique ou parasitaire d'origine inconnue. Les taches regroupées en anneau...
Image Contenu lié à l’Image
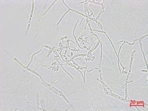
Microdochium_sp_1
Microdochium_sp_1

Microdochium sp.

Microdochium sp. isolé sur milieu SNA à partir de racines de pâturin annuel. ...
Image Contenu lié à l’Image
Microdochium_sp_2
Microdochium_sp_2

Microdochium sp.

Microdochium sp. isolé sur milieu SNA à partir de racines de pâturin annuel. ...
Image Contenu lié à l’Image
Microdochium_sp_3
Microdochium_sp_3

Microdochium sp.

Microdochium sp. isolé à partir de feuilles de fléole des prés. ...
Image Contenu lié à l’Image
Microdochium_sp_4
Microdochium_sp_4

Microdochium sp.

Microdochium sp. isolé à partir de feuilles de fléole des prés. ...
Image Contenu lié à l’Image
Microtechnites bractatus_5
Microtechnites bractatus_5

Microtechnites bractatus

Image Contenu lié à l’Image
Microtechnites bractatus_1
Microtechnites bractatus_1

Microtechnites bractatus

Image Contenu lié à l’Image
Microtechnites bractatus_6
Microtechnites bractatus_6

Microtechnites bractatus

Image Contenu lié à l’Image
Microtechnites bractatus_2
Microtechnites bractatus_2

Microtechnites bractatus

Image Contenu lié à l’Image
Microtechnites bractatus_7
Microtechnites bractatus_7

Microtechnites bractatus

Image Contenu lié à l’Image
Microtechnites bractatus_3
Microtechnites bractatus_3

Microtechnites bractatus

Image Contenu lié à l’Image
Microtechnites bractatus_4
Microtechnites bractatus_4

Microtechnites bractatus

Image Contenu lié à l’Image
Millepertuis commun (Hypericum perforatum)_11
Millepertuis commun (Hypericum perforatum)_11

Millepertuis commun

Image Contenu lié à l’Image
Millepertuis commun (Hypericum perforatum)_5
Millepertuis commun (Hypericum perforatum)_5

Millepertuis commun

Image Contenu lié à l’Image
Millepertuis commun (Hypericum perforatum)_12
Millepertuis commun (Hypericum perforatum)_12

Millepertuis commun

Image Contenu lié à l’Image
Millepertuis commun (Hypericum perforatum)_6
Millepertuis commun (Hypericum perforatum)_6

Millepertuis commun

Image Contenu lié à l’Image
Millepertuis commun (Hypericum perforatum)_13
Millepertuis commun (Hypericum perforatum)_13

Millepertuis commun

Image Contenu lié à l’Image
Millepertuis commun (Hypericum perforatum)_14
Millepertuis commun (Hypericum perforatum)_14

Millepertuis commun

Image Contenu lié à l’Image
Millepertuis commun (Hypericum perforatum)_1
Millepertuis commun (Hypericum perforatum)_1

Millepertuis commun

Image Contenu lié à l’Image
Millepertuis commun (Hypericum perforatum)_8
Millepertuis commun (Hypericum perforatum)_8

Millepertuis commun

Image Contenu lié à l’Image
Millepertuis commun (Hypericum perforatum)_2
Millepertuis commun (Hypericum perforatum)_2

Millepertuis commun

Image Contenu lié à l’Image
Millepertuis commun (Hypericum perforatum)_15
Millepertuis commun (Hypericum perforatum)_15

Millepertuis commun

Image Contenu lié à l’Image
Millepertuis commun (Hypericum perforatum)_9
Millepertuis commun (Hypericum perforatum)_9

Millepertuis commun

Image Contenu lié à l’Image
Millepertuis commun (Hypericum perforatum)_3
Millepertuis commun (Hypericum perforatum)_3

Millepertuis commun

Image Contenu lié à l’Image
Millepertuis commun (Hypericum perforatum)_16
Millepertuis commun (Hypericum perforatum)_16

Millepertuis commun

Image Contenu lié à l’Image
Millepertuis commun (Hypericum perforatum)_10
Millepertuis commun (Hypericum perforatum)_10

Millepertuis commun

Image Contenu lié à l’Image
Millepertuis commun (Hypericum perforatum)_4
Millepertuis commun (Hypericum perforatum)_4

Millepertuis commun

Image Contenu lié à l’Image
Millepertuis Fraser (Hypericum fraseri)_13
Millepertuis Fraser (Hypericum fraseri)_13

Millepertuis de Fraser

Image Contenu lié à l’Image
  • Afficher plus
Logo IRIIS
L’outil IRIIS est enrichi par le MAPAQ
et ses collaborateurs
Liens 

 À propos
 Fournir des images
 Crédits photo
 Glossaire
 Conditions d'utilisation
 Admin

Contact 

Téléphone : 418 523-5411
Sans frais : 1 888 535-2537
Télécopieur : 418 644-5944
Courriel : iriisphytoprotection@craaq.qc.ca

Adresse 

Édifice Delta 1
2875, boulevard Laurier, 9e étage

Québec (Québec) G1V 2M2
Canada

Propulsé par craaq

Ce site est optimisé pour Mozilla Firefox et Google Chrome

© CRAAQ, 2023 Tous droits réservés

       
sfy39587stp18
Drupal 9 Appliance - Powered by TurnKey Linux