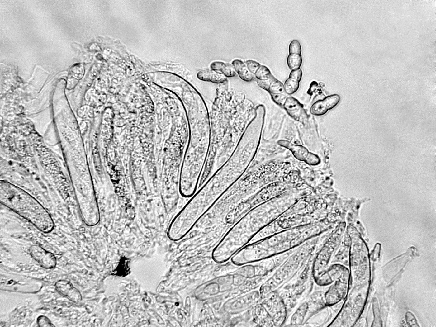
Nom latin :
Xenodidymella applanata
Nom latin synonyme :
Phoma argillacea, Didymella applanata
Dommages
Le champignon Xenodidymella applanata peut affecter les cultures suivantes : Framboise, Ronce de Logan et les Rubus en général.
Cultures ou autres organismes affectés
Framboise
/index.php/fr/maladies-parasitaires/champignons/xenodidymella-applanata/framboise-brulure-des-dards
Framboise - Brûlure des dards (Xenodidymella applanata)_1
Framboise - Brûlure des dards (Xenodidymella applanata)_2
Framboise - Brûlure des dards (Xenodidymella applanata)_3
Framboise - Brûlure des dards (Xenodidymella applanata)_4
Framboise - Brûlure des dards (Xenodidymella applanata)_5
Framboise - Brûlure des dards (Xenodidymella applanata)_2
Framboise - Brûlure des dards (Xenodidymella applanata)_3
Framboise - Brûlure des dards (Xenodidymella applanata)_4
Framboise - Brûlure des dards (Xenodidymella applanata)_5
